2023. 1. 21. 21:27ㆍ생활/전시·콘서트·OTT 추천
치매는 시간이 흐르면서 악화되는 질병으로 사람마다 발병원인, 속도, 증세가 다르다. 그런데 말기에 이르면 굉장히 심각한 상태라고 할 수 있다. 의료계에서는 치매를 7단계로 정의했다. 여기에서 치매 7단계를 파해쳐보자. 이 글만 읽어도 치매에 대한 기본적인 사항은 모두 알게 된다. 자니윤이라고 국내 코미디언도 치매가 발병하여 자신도 못알아보는 상황에 이르렀었다.

이처럼 치매는 자신이 누구인지 조차도 모르는 상황에 이를 수 있는 심각한 병이다. 특히 부모님 연세가 있다거나, 주변에 치매 발병 확률이 높은 사람이 곁에 있는 경우 치매 발병원인 및 대응방법에 대해 알아두어야한다. 지금부터 소개할 치매 7단계가 만들어진 배경에는 가족이나 친지 등 가까운 사람이 치매에 걸렸을 때 어떤 상태인지 파악하기 위한 척도로 개발이 되었다.
치매 초기증상 7단계
치매 1단계
1) 정상적인 행동
치매 1단계에서는 치매가 발생할 거라는 내적인 변화만 있고 외적 행동은 정상이다. 내적인 변화는 알아차리기 어렵다.
치매 2단계
1) 올바른 단어 사용이 어려움
단어를 사용하는데 어려움을 겪고 올바르게 사용하지 못한다. 말이 어눌하거나 얼버무리는 상황이 많이 발생한다.
2) 물건을 어디에 두었는지 기억을 못함
어디에 물건이 있는지 찾으러 다녀야한다. 주변 사람은 눈치를 채지는 못한다. 단지 사소한 문제라고 여길수도 있으나 지속되면 치매가 된다.
치매 3단계 (가벼운 인지 기능의 저하)
1) 약속을 했는데 까먹는다.
지인과 약속을 했는데 일정을 까먹는다. 한 번 일어나는 일이 아니라 지속적으로 같은 일이 일어난다.
2) 주변 사람들이 알아차림
직장이나 가족 간의 관계에서 어려움이 생기기 시작하면서 주변 사람들이 치매 증상을 알아차린다.

치매 4단계 (중간 단계)
1) 익숙한 단어를 기억 못한다. 쇼핑이나 요리도 못한다.
일상 생활에 어려움을 겪기 시작한다. 주변 지인들이 이로 인해 심각성과 불편함을 느끼기 시작한다.
2) 최근 일어난 일도 기억 못함
최근 일어나 일에 대해서 기억을 잘 못한다.
3) 가족들이 심각하게 생각함
치매 환자를 어떻게 돌볼지 가족들이 걱정하는 단계다. 치료도 적극적으로 생각한다.
치매 5단계 (심각)
1) 성격이 변한다
성격이 사람마다 다른데 변한다. 같은 질문도 여러번한다.
2) 일상생활이 어려움
화장실, 식사를 하는데 도움이 필요하다.

치매 6단계 (심각성 고조)
1) 길을 잃는다
2) 말을 잘 못한다
3) 공격적으로 변한다
4) 지속적인 치료 및 돌봄이 필요하다
치매 7단계 (말기)
1) 말하거나 먹는 능력을 잃는다
2) 가족을 못알아본다
3) 24시간 돌봄이 필요하다. 앞서 언급한 코미디언 자니윤은 치매 말기에 해당했었다 그는 눈에 초점이 없으며 자신이 누구인지도 모르고 기억을 되살려보려다 좌절하는 상황에 이르렀었다고 한다. 자신이 하고싶은 말도 못하고 다른 사람의 말도 이해하지 못하고 멍하게 하루를 보냈다고 한다.
그렇다면 치매의 발생 원인이 무엇일까?

바로 1위는 알츠하이머병(50%) 이 원인이다. 2위는 혈관성 치매, 3위는 퇴행성 뇌질환, 4위는 기타이다.

알츠하이머병이란?
치매의 1위 원인이 되는 알츠하이며병은 독성 단백질인 "아밀로이드 베타 단백질과 타우 단백질" 이 뇌 속에 쌓이면서 노 ㅣ신경세포가 사라지는 퇴행성 신경 질환이다.
알츠하이며병은 유전성인 가족성 알츠하이머 그리고 유전자 돌연변이가 없는 산재성 알츠하이머 두가지가 있는데 대부분이 유전자 돌연변이가 없는 알츠하이머이다. 이 경우를 산재성 알츠하이머라고 부르는데 이는 알츠하이머 관련 유전자를 얼만큼 보유하느냐에 따라 위험도가 달라진다.
치매 예방 및 치료
치매는 잘 관리하면 예방할 수 있다. 약 20년 전부터 치매와 관련있는 베타 아밀로이드라는 것이 뇌에 쌓이기 때문에 미리 관리하면 치매 발생을 늦출 수 있다.
1. 인지기능검사
평소 기억력, 주의집중력, 수행능력, 시공간기능 등에 대한 인지기능 저하 여부를 알면 된다. 동일 연령에 비해 인지기능이나 기억력이 떨어져있는 경우 특별히 조심해야한다.

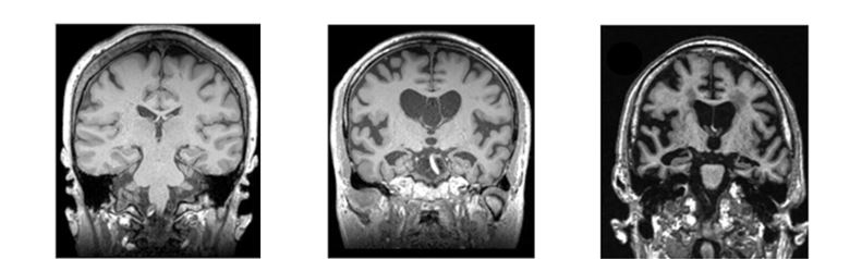
2. 뇌 MRI 검사
뇌가 어느정도 위축되어있는지 확인을 하면 치매 위험도를 알 수 있다. MRI에서 쉽게 변성의 정도, 부위를 확인할 수 있다. 따라서 MRI 검사를 하면 치매 원인 질환인 수두증, 뇌혈종, 감염 등 대사질환 또는 종양 등을 진단할 수 있다.

+ 아밀로이드 PET-CT 검사
비교적 최근 개발된 기술인 이 검사는 대뇌 아밀로이드 베터 단백질 침착도를 확인할 수 있다. 즉, 치매 증상이 없더라도 조기 진단이 가능하다. 따라서 현재 치매 예방을 위한 가장 좋은 진단 수단이라고 할 수 있다.

아직 치매 초기단계라면 평소 활기찬 활동을 하는것이 심각성을 늦추는데 도움이 될 수 있다. 아래 취미 추천 100가지에서 하고 싶은 취미활동을 하는것도 치매를 예방하는데 도움이 된다.
2023.01.18 - [문화 생활] - 취미 추천 100가지 - 마음대로 골라
2023.01.05 - [문화 생활] - 2023년부터 바뀌는 것들 총정리
2023.01.02 - [문화 생활] - LH청약센터 홈페이지 바로가기